|
![]() |
![]() |
|||||||||||||
Total joint replacement diagnosis gives most patients a unique feeling of fear. They actually need their total joint taken out of their body & replaced with titanium & plastic (sometimes ceramic). Bob Faught's mother, 86 years old, had never had real joint pains until early 2010. When she went in for her diagnosis, she was expecting that she would simply need arthroscopy surgery. Hearing she needed total joint replacement gave her an unforeseen feeling of shock. In September 2010 she became another of the family statistics. On the day she had her right total knee replacement, Bob's aunt had her second knee replacement & three weeks later Bob's sister had her second knee replaced. Everyone has recovered to pain-free mobility & a higher quality of life due to Our Joint Decisions' education & motivation to lead with a positive attitude. Yes, total joint replacement can sound ominous to a patient, but if you apply the CORE ROADS TO LIFE to your surgery, your success & recovery will be greatly accelerated. |
|||||||||||||||
|
|||||||||||||||
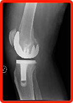
Total Joint Replacement replaces your diseased joint and eliminates the damaged bearing surfaces causing the pain. The implants offer renewed stability, eliminating pain, and providing improved motion with minimum wear and tear. This provides pain-free mobility with a much higher quality of life for the patient. These replacements are most common with knees, hips, and shoulders. In knees, for example, there are other alternatives. The Unicompartmental Partial Knee Replacement involves putting an implant on just one side of the knee. Again, like in joint resurfacing, the doctor is able to eliminate the diseased portion of the knee and leave the healthy portion. By retaining undamaged parts of the knee, the joint may bend better and function more naturally. There are also Unicompartmental Personalized Partial Knee Resurfacing Implants, Bicompartmental Partial Knee Replacement, and Bicompartmental Personalized Partial Knee Resurfacing Implants. |
|||||||||||||||
|
|||||||||||||||
As medicine continues to improve every day, there are many other surgeries specific to other joints in the body. Our Joint Decisions is trying to cover the majority of the major surgeries/ replacements. If you have a question on a specific surgery, please e-mail us. |
|||||||||||||||
Disclaimer | Privacy Policy | Contributions | Sitemap | Licensing | Banners | Webmaster Copyright © 2012 Our Joint Decisions, Inc. NFP An Illiniois Not-for-Profit Corporation, 501(c)(3) Pending |
||
| Home | ![]() |
musculoskeletal | ![]() |
jointreplacement |
Website Location:
Welcome to Our Joint Decisions, Inc. NFP
"Helping Those Seeking Help & Those Who Feel Helpless!"