Questions for Patients

dreamstime_4724238 dreamstime_14375005

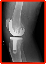
Total Joint Replacement replaces your diseased joint and eliminates the damaged bearing surfaces causing the pain. The implants offer renewed stability, eliminating pain, and providing improved motion with minimum wear and tear. This provides pain-free mobility with a much higher quality of life for the patient. These replacements are most common with knees, hips, and shoulders.

In knees, for example, there are other alternatives available. The Unicompartmental Partial Knee Replacement involves putting an implant on just one side of the knee. Again, like in joint resurfacing, the doctor is able to eliminate the diseased portion of the knee and leave the healthy portion. By retaining undamaged parts of the knee, the joint may bend better and function more naturally.

There are also Unicompartmental Personalized Partial Knee Resurfacing Implants, Bicompartmental Partial Knee Replacement, and Bicompartmental Personalized Partial Knee Resurfacing Implants.

Car Analogy

Our Joint Decisions has always used a car analogy to demonstrate the differences we have between our possessions & our body. For example, patients will do extensive research to buy a car, but little or none for a total joint replacement.

When your car gets a flat tire, do you just continue to drive your car? No, you replace the flat tire with the spare & fix it. Why then do patients procrastinate when they are told they need a total joint replacement? They think they can drive through life on a defective tire? Then there are those groups of patients whose fear is so strong they won't even go to a doctor to get a diagnosis. If we serviced our body like we do our car, there would be far fewer patients with extensive joint pain.

Disclaimer | Privacy Policy | Contributions | Sitemap | Licensing | Banners | Webmaster

Copyright © 2012 Our Joint Decisions, Inc. NFP

An Illiniois Not-for-Profit Corporation, 501(c)(3) Pending

Home patientsstories jointreplacement

Website Location:

Welcome to Our Joint Decisions, Inc. NFP

item1
Doctor-&-Patient-Picture
item6

"Helping Those Seeking Help & Those Who Feel Helpless!"