|
![]() |
![]() |
|||||||||||||
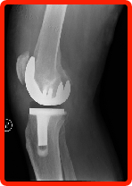
Bob Faught's anesthesia has been spinal/ epidural for his surgeries, especially total knee & hip replacements. He stays wide awake with no amnesia or sleeping medications. He will share some very interesting insights into total joint replacement: When you get in the operating room, most people are almost asleep. What you don't see is the extensive time & effort it takes the nursing staff to prepare the room for total joint replacement surgery. I have a great deal of respect the the nursing teams after what I have seen. After they place you on the operating table, they give you the spinal/ epidural that eventually numbs you from the waist down. The staff then insures all the IV connections are in place while they begin the preparation on your joint. For example, like in knee replacement, they need to shave your leg & clean it. Also, the anesthesiologist stays right with you by your head to make sure you are comfortable. The team then places the green "tent" around your joint to protect everyone from the procedure & help prevent any possible infections. After the spinal/ epidural has taken full effect, the doctor & his/ her team begin the joint replacement. After they make the necessary cuts through your skin to the joint, they remove the diseased joint. From the x-rays, they know about what size joint you will need & have this size range available in the operating room. To determine the exact size, they use color-coded plastic prosthesis parts, put them in to simulate your new joint, and check for final fit. Once they have concluded what size fits best, many times the joint manufacturer's rep is in the operating room & opens the sealed envelope with your new joint. This service is important for multiple reasons: insure the correct size and position, right or left, for example, is given to the doctor. It also insures that the manufacturer was there to open the bacteria-free prosthesis & hand it to the doctor for maximum protection. The doctor places the new prosthesis in & goes through a final inspection. Then the doctor uses staples to close up the incision used to replace your joint. From that point on, the anesthesiologist makes sure you are still comfortable, and the nurses begin the clean-up. They then bring in another gurney to take you to the recovery room for about an hour to 1-1/2 hours till all vital signs are good & you are ready to be taken to your room. |
|||||||||||||||
|
|||||||||||||||
Most patients don't know the joint manufacturer for their total joint replacement. When asked, a common response is I thought there was only one company that made them & isn't there just one size fits all? Like any commodity in the world, there is a diverse group of joint manufacturers. Like shoes or clothes, the sizes vary from very small to very large. So it is with the prosthesis to replace your joint. If your doctor has told you that you need a total joint replacement, find out who the manufacturer is, the model he plans on using & compare this to other joint manufacturers. It's your body, and you are the only one that can make the best "Joint Decision" for your own prosthesis that will effect the rest of your life. |
|||||||||||||||
Disclaimer | Privacy Policy | Contributions | Sitemap | Licensing | Banners | Webmaster Copyright © 2012 Our Joint Decisions, Inc. NFP An Illiniois Not-for-Profit Corporation, 501(c)(3) Pending |
||
| Home | ![]() |
patientsstories | ![]() |
jointreplacement | ![]() |
insights |
Website Location:
Welcome to Our Joint Decisions, Inc. NFP
"Helping Those Seeking Help & Those Who Feel Helpless!"